神秘微笑非中邪 6cm「大腦鐮腫瘤」作祟
- [自由時報]阿春伯是一個雲嘉地區常見的種田人,做事認真嚴肅,沉默寡言。家屬說,從兩年前開始看到他有時候發呆,不管跟他講什麼最後總是露出微微一笑,本來以為是中邪,想帶去收驚,但是因為阿春伯實在太大隻了,又控制不了他,實在沒辦法帶去收驚或就醫。直到兩週前,阿春伯忽然雙腳癱軟,不會走路,家屬趕快送到本院就醫。......
阿春伯是一個雲嘉地區常見的種田人,做事認真嚴肅,沉默寡言。家屬說,從兩年前開始看到他有時候發呆,不管跟他講什麼最後總是露出微微一笑,本來以為是中邪,想帶去收驚,但是因為阿春伯實在太大隻了,又控制不了他,實在沒辦法帶去收驚或就醫。直到兩週前,阿春伯忽然雙腳癱軟,不會走路,家屬趕快送到本院就醫。
當高壯的阿春伯坐輪椅進來,最令人印象深刻的就是問診時,雖然他可以正確的回答問題,但講完話總神秘的一笑。因為雙下肢的控制不好,又沒有其他明顯的神經痛症狀,我們當下就懷疑是水腦症,或者是慢性硬腦膜下出血,安排他到急診去做電腦斷層。
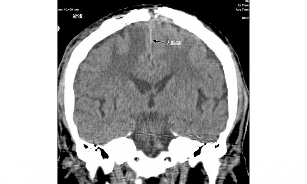
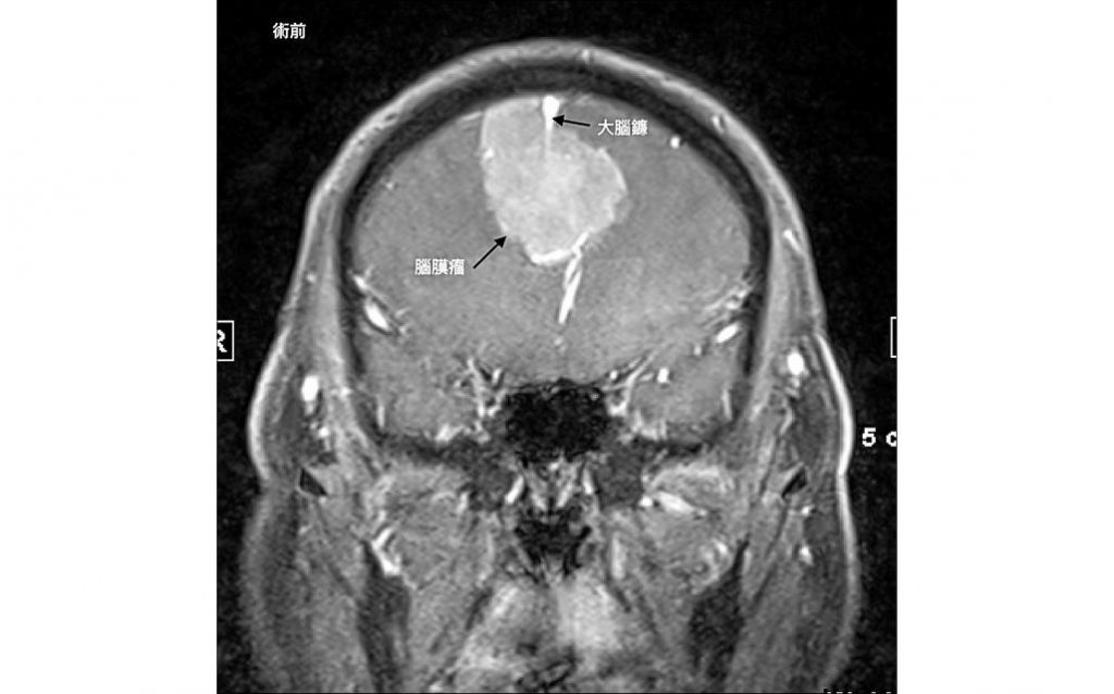
結果發現一個位在中線的大腦鐮腫瘤,進一步做核磁共振檢查之後,判斷是一個直徑6公分而且跨越中線的大腦鐮腦膜瘤合併雙側前額葉的腦水腫 (圖1)。因此,我們進行雙側前額葉的開顱手術把腫瘤從兩邊切除(圖2)。
阿春伯術後很快恢復清醒跟下肢的力量,雖然走路依然遲緩;但是他那神秘的微笑在術後並沒有消失,也許是漫長的腫瘤生長過程已經對大腦前額葉造成傷害,或許要更長的時間才能恢復。
大腦鐮是一個鐮刀狀的結構,位在大腦中間分隔兩側大腦。而大腦鐮腦膜瘤起始於大腦鐮旁,由於位置較深而生長緩慢,腫瘤較小時一般不引發明顯的臨床症狀,因此發病時,腫瘤往往已長得較大,出現運動障礙時,會從足部開始,逐漸影響整個下肢。由於病人沒有下背痛和神經痛的症狀,很容易和脊椎問題造成的下肢無力區別。
罕見雙側大腦鐮腦膜瘤
大腦鐮腦膜瘤會長到兩側的並不多見。阿春伯的症狀有一部分因為對兩側前額葉擠壓而造成下肢運動控制不良,使他不良於行;而對兩側前額葉的神經壓迫造成個性改變、人格異常及記憶缺損,但因從事務農工作,很少需要太多計算,他還是可以完成日常的工作,只是偶爾會露出他那神秘的微笑,直到他不能走動了,才被送醫。
腦瘤的症狀千變萬化,跟腫瘤的位置、腫瘤大小與本身的細胞特性都有關係,所以中老年人如果有情緒和記憶變化或運動障礙的時候,還是要及早就醫,確定診斷。
資料來源: 自由時報
網址: 原文網址
作者: 王定中
神秘,微笑、大腦鐮腫瘤,阿春伯,輪椅
Previous 打造熟齡宅3關鍵!當你體力變差、需要坐輪椅 生活也能無障礙 Next “輪椅兄弟”去世捐獻遺體15歲妹妹要扛起一家希望
